不同形態的靜脈曲張:足部、骨盆內靜脈病變及骨盆內滲漏
在門診說明時,患者最常見的問題是,到底我的靜脈曲張是從哪裡長出來?
為了回答這個問題,我們要先從足部開始往上說明:
圖A是正常健康的足部靜脈,這包含在淺層,引流皮膚血液的大隱靜脈(負責大小腿內側)及小隱靜脈(小腿外側及小腿後方)。
腿部皮膚的血膚都是由這兩套系統收集後,由鼠蹊部(大隱靜脈)及膝窩處(小隱靜脈),把血液送到深靜脈(股靜脈及膕靜脈)。
深靜脈進入骨盆腔後會變成所謂外髂靜脈。外髂靜脈和內髂靜脈(主要收集子宮、直腸、膀胱、陰部等骨盆臟器的靜脈血)會合後變成總髂靜脈,兩側側總髂靜脈會合後成為下腔靜脈。
下腔靜脈往心臟歸去時,會加入兩側的腎靜脈,生殖靜脈,奇靜脈、肝靜脈而後回到右心房。(本篇不討論)
要注意的是:靜脈不是單純的管子相接,它比較像是一張很大的網子,收集全身組織的血液回到心臟。
再來,為靜脈收集血液時,沒有另一個馬達再把血擠回心臟,所以足部靜脈內部有很多特化的結構,稱作"瓣膜"。
瓣膜功能像是一個單向門,讓血液儘量只能往心臟前進。當這個單向門(瓣膜)功能受損時會發生什麼事呢?
靜脈血要經由大隱靜脈或深靜脈回到心臟時,大部分的血液會留在皮膚,久而久之皮膚發黑變色。
更嚴重的瓣膜退化時,血液會從深靜脈"逆流"灌回大隱靜脈。這些過多的血流,就會造成柔軟的靜脈擴大、扭曲、變型,成為我們看到的足部靜脈曲張。
比較輕微的是只有大隱靜脈的遠端(小腿內側)靜脈變型(圖B),久而久之連大腿的大隱靜脈點變型了(圖C)。
然而,有另外一種靜脈曲張,並不是由於足部靜脈瓣膜退化造成。
當某些狀況造成骨盆腔內靜脈壓力增高,而淺靜脈瓣膜功能還不錯時,往往只有深靜脈(股靜脈/膕靜脈等)的回流不順。反向造成小腿肌肉、和靠進表皮的結締組縜靜脈壓力變高。
這些早期、輕微的靜脈壓力改變,會造成病患產生難以形容的異樣感。
比較常見的說法像是足部沈重感外,像是足底發冷、發熱、發麻、蟲爬感、電刺痛、或是摸起來不像自已的皮膚等,各式不一的形容。
這些病人的靜脈曲張就不是像之前提到的擴大、扭曲、變型,而是像血絲或是泡麵一樣,細細一把的纏繞散布(圖D、E)。
當我們使用無毒靜脈核磁造影去分析這類病人時,會發現三種常見的骨盆腔靜脈病變。
在男生又稱"精索靜脈",在女生稱為"卵巢靜脈"。這個靜脈在右邊時會直接進入下腔靜脈,而左邊會注入左腎靜脈後,繞過主動脈後再回到下腔靜脈。
這個血管在懷孕時會成為"骨盆及下半身"靜脈回流的替代通道而擴大,而在生產完後縮小。
然而在很多女性,特別是多產婦(有三個小孩以上),腹內的靜脈因為反復、長期的壓力上升變粗大,造成"瓣膜結構"的異常而使血流往"離心方向",流往骨盆腔造成骨盆腔充血狀態。
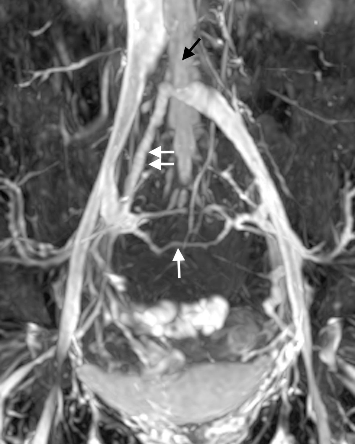
圖二:白色箭頭:擴大、逆流的左生殖靜脈 黑色箭頭:因血流過多造成的子宮靜脈曲張,常引起下腹痛
過多的骨盆腔血流也會流竄到身體的其他地方包括骨盆腔底部的會陰以及腰椎後方的血管。
圖三:因為退化的左生殖靜脈 (黑色星號 *)造成過多血流,而使得髂靜脈發生血流過多產生的"相對狹窄",可以看到血流往上升,腰椎靜脈(黑色箭頭)和脊椎方向流去。
過多的血流經過會陰部(Perineal type Pelvic leak),往骨盆腔外滲出(白色箭頭)。
在無毒核磁靜造影中,可以讓病患及醫師視察到逆流及粗大的生殖靜脈及子宮/直腸/膀胱/陰道附近的扭曲的靜脈,甚至在私密處的骨盆腔靜脈滲漏。
在狹小的骨盆腔內有各式各樣的器官擠在其中,當靜脈血流進入骨盆腔後(髂靜脈),走在腰椎骨和大動脈之間的狹小空間中,然後在身體的中線處左右會合。
當這個狹小空間變得更狹小(常見是腰椎骨退化或是動脈擴大)時,就會發生髂靜脈壓迫或阻塞。靜脈血流只能繞過狹窄點(由側肢循環)回到下腔靜脈。
圖四:
當靜脈血流變大時(如運動),來不及回心臟的血壓累積後,就會造成靜脈壓力高而造成足部和下腹的不適,甚至因為產生骨盆腔陰部滲漏,造成私密處腫脹不舒服。
這類的病人的靜脈曲張微創治療須要特別的小心。
第三類是比較少見的下身靜脈高壓原因,像是心臟回流不順、重度的胃腸漲氣和便秘等。
藉由精確的靜脈血管型態和血流動力資訊,我們可以更有效的辨認靜脈曲張的來源和種類,避免危險及無效介入,減少復發程度,進一步的提升靜脈治療的層次。
明顯的骨盆充合併骨盆腔滲漏及雙足靜脈曲張。
我們可以從正面同時看到兩條腿有的骨盆腔滲漏,需要單腿模式才可以看清楚滲漏的正確走向。(B.C.)
如果有靜脈曲張相關疑惑,歡迎諮詢黃耀廣醫師!